
.jpg)
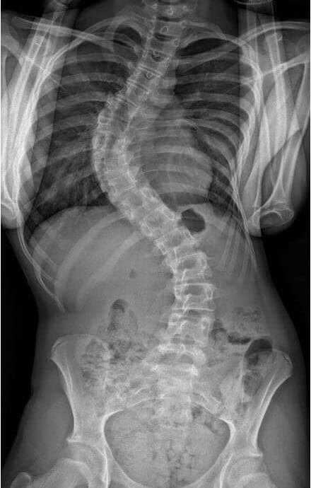
EOS is a novel upright CT scanner utilising Nobel Prize winning, ultra-sensitive x-ray detector technology.
The full body, weight bearing scan enables accurate assessment of skeletal issues, including postural analysis, degree of scoliosis, leg length discrepancies and predisposition to spine disc disease.
It allows rapid imaging of the entire skeleton in a sitting or standing position at an extremely low radiation dose; making it the optimal orthopaedic imaging technology for monitoring spinal and skeletal conditions.
It delivers accurate measurements and 3D modelling with no magnification, offering exact measurements for personalised care based on patient’s unique anatomy.